Accueil
Traitements
Docteur
Avant – Apret
Conseils
Contact
76 avenue de la Marne
93800 Épinay-sur-Seine
Contact
01 42 35 51 94
contact@drasmaazaid.fr
Mercredi : 09h30-12h30, 14h00-17h30
Vendredi : 09h30-12h30, 14h00-17h30
Samedi : 09h30-12h30, 14h00-17h30
Mercredi, Vendredi, Samedi
Accueil
Traitements
Docteur
Avant – Apret
Conseils
Contact
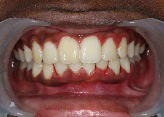
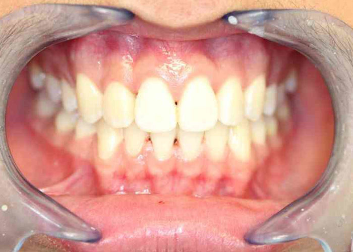
Age: 13 ans
Durée de traitement : 36 mois
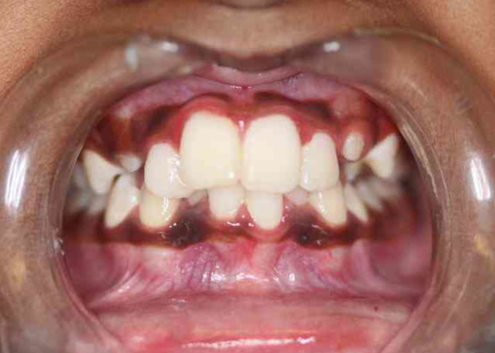
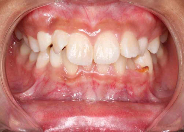
Age: 12 ans
Durée de traitement : 24 mois
Shopping Cart
0
$
0.00
No products in the cart.